CASE
症例
-
BEFORE
AFTER
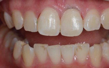
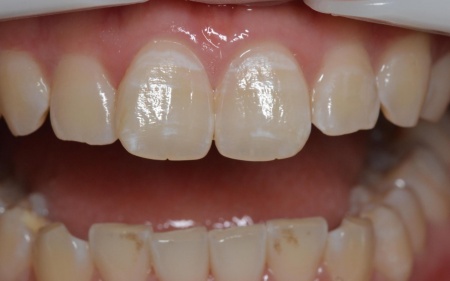
30代男性 前歯のホワイトスポットをICON治療で目立たないように治療した症例
ご相談内容:「前歯の白い部分が気になる」とご相談いただきました。
年齢・性別:30代男性/診療種別:自由診療
-
BEFORE
AFTER
30代男性 前歯の白い斑点にIcon治療を施した症例
ご相談内容:「前歯の白い部分が気になる」とご相談いただきました。
年齢・性別:30代男性/診療種別:自由診療
-
BEFORE
AFTER
40代女性 全体的に黄ばんだ歯をオフィスホワイトニングで改善した症例
ご相談内容:「歯を白くしたい」とご相談いただきました。
年齢・性別:40代女性/診療種別:自由診療
-
BEFORE
AFTER
30代男性 上前歯のホワイトスポットをIcon治療で目立たないように改善した症例
ご相談内容:「前歯の白い部分が気になる」とご相談いただきました。
年齢・性別:30代男性/診療種別:自由診療
-
BEFORE
AFTER
30代女性 前歯のホワイトスポットをIcon治療で改善した症例
ご相談内容:「前歯の白くなっているところが気になる」とご相談いただきました。
年齢・性別:30代女性/診療種別:自由診療
-
BEFORE
AFTER
60代女性 左下の銀歯を審美性と強度に優れたジルコニアブリッジで治療した症例
ご相談内容:「左下の銀歯を白くしたい」とご相談いただきました。
年齢・性別:60代女性/診療種別:自由診療
-
BEFORE
AFTER
40代男性 前歯のホワイトスポットにIcon治療を行った症例
ご相談内容:「前歯の白くなっているところが気になる」とご相談いただきました。
年齢・性別:40代男性/診療種別:自由診療
-
BEFORE
AFTER
50代女性 目立つ銀歯を白い素材のe-maxインレーで修復し直した症例
ご相談内容:「銀歯を白い素材で作り直したい」とご相談いただきました。
年齢・性別:50代女性/診療種別:自由診療
-
BEFORE
AFTER
30代女性 上前歯のホワイトスポットをIcon治療で目立たないように改善した症例
ご相談内容:「前歯の白い部分が気になる」とご相談いただきました。
年齢・性別:30代女性/診療種別:自由診療
-
BEFORE
AFTER
40代男性 前歯の目立つ部位にあるホワイトスポットをIcon治療で改善した症例
ご相談内容:「前歯の白くなっている部分が気になる」とご相談いただきました。
年齢・性別:40代男性/診療種別:自由診療
| 診療時間 | 月 | 火 | 水 | 木 | 金 | 土 | 日 | 祝 |
|---|---|---|---|---|---|---|---|---|
| 9:30 ~ 13:30 | / | ● | ● | ● | ● | ▲ | ▲ | / |
| 15:00 ~ 19:30 | / | ● | ● | ● | ● | ▲ | ▲ | / |
【休診日】月・祝9:30 ~ 13:00、14:00 ~ 16:00