WHITE SPOT
ホワイトスポット治療症例

ホワイトスポット治療症例
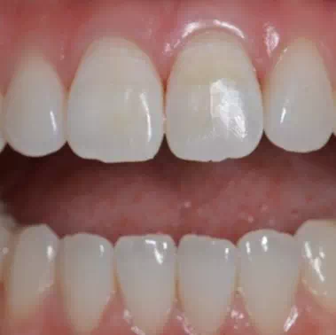
症例3
-
術前

-
術後

| 診断 | 上顎左右1 ホワイトスポット |
|---|---|
| 初診時の年齢 | 18 |
| 治療内容 | ICON治療 |
| 治療期間 | 1日 |
| 治療総額 | 2歯合計 49,500円(税込) |
| 治療のメリット | 歯を削らずに即日でホワイトスポットが目立たなくなる 歯質を強化することができる |
| 治療のリスク | 経年的に着色することがある 後戻りの可能性がある |
症例4
-
術前

-
術後

| 診断 | 上顎左右1 ホワイトスポット |
|---|---|
| 初診時の年齢 | 20 |
| 治療内容 | ICON治療 |
| 治療期間 | 1日 |
| 治療総額 | 2歯合計 49,500円(税込) |
| 治療のメリット | 歯を削らずに即日でホワイトスポットが目立たなくなる 歯質を強化することができる |
| 治療のリスク | 経年的に着色することがある 後戻りの可能性がある |
症例5
-
術前

-
術後

| 診断 | 上顎左右1 ホワイトスポット |
|---|---|
| 初診時の年齢 | 28 |
| 治療内容 | ICON治療 |
| 治療期間 | 1日 |
| 治療総額 | 2歯合計 49,500円(税込) |
| 治療のメリット | 歯を削らずに即日でホワイトスポットが目立たなくなる 歯質を強化することができる |
| 治療のリスク | 経年的に着色することがある 後戻りの可能性がある |
症例6
-
術前

-
術後

| 診断 | 上顎左右1 ホワイトスポット |
|---|---|
| 初診時の年齢 | 35 |
| 治療内容 | ICON治療 |
| 治療期間 | 1日 |
| 治療総額 | 2歯合計 49,500円(税込) |
| 治療のメリット | 歯を削らずに即日でホワイトスポットが目立たなくなる 歯質を強化することができる |
| 治療のリスク | 経年的に着色することがある 後戻りの可能性がある |
症例7
-
術前

-
術後

| 診断 | 上顎左1 ホワイトスポット |
|---|---|
| 初診時の年齢 | 31 |
| 治療内容 | ICON治療 |
| 治療期間 | 1日 |
| 治療総額 | 1歯合計 27,000円(税込) |
| 治療のメリット | 歯を削らずに即日でホワイトスポットが目立たなくなる 歯質を強化することができる |
| 治療のリスク | 経年的に着色することがある 後戻りの可能性がある |
症例8
-
術前

-
術後

| 診断 | 上顎左右1 ホワイトスポット |
|---|---|
| 初診時の年齢 | 32 |
| 治療内容 | ICON治療 |
| 治療期間 | 1日 |
| 治療総額 | 2歯合計 49,500円(税込) |
| 治療のメリット | 歯を削らずに即日でホワイトスポットが目立たなくなる 歯質を強化することができる |
| 治療のリスク | 経年的に着色することがある 後戻りの可能性がある |
症例9
-
術前

-
術後

| 診断 | 上顎左右1 ホワイトスポット |
|---|---|
| 初診時の年齢 | 25 |
| 治療内容 | ICON治療 |
| 治療期間 | 1日 |
| 治療総額 | 2歯合計 49,500円(税込) |
| 治療のメリット | 歯を削らずに即日でホワイトスポットが目立たなくなる 歯質を強化することができる |
| 治療のリスク | 経年的に着色することがある 後戻りの可能性がある |
症例10
-
術前

-
術後

| 診断 | 上顎左右1 ホワイトスポット |
|---|---|
| 初診時の年齢 | 24 |
| 治療内容 | ICON治療 |
| 治療期間 | 1日 |
| 治療総額 | 2歯合計 49,500円(税込) |
| 治療のメリット | 歯を削らずに即日でホワイトスポットが目立たなくなる 歯質を強化することができる |
| 治療のリスク | 経年的に着色することがある 後戻りの可能性がある |
症例11
-
術前

-
術後

| 診断 | 上顎左右1 ホワイトスポット |
|---|---|
| 初診時の年齢 | 28 |
| 治療内容 | ICON治療 |
| 治療期間 | 1日 |
| 治療総額 | 2歯合計 49,500円(税込) |
| 治療のメリット | 歯を削らずに即日でホワイトスポットが目立たなくなる 歯質を強化することができる |
| 治療のリスク | 経年的に着色することがある 後戻りの可能性がある |
症例12
-
術前

-
術後

| 診断 | 上顎右1左1、2 ホワイトスポット |
|---|---|
| 初診時の年齢 | 22 |
| 治療内容 | ICON治療 |
| 治療期間 | 1日 |
| 治療総額 | 3歯合計 72,000円(税込) |
| 治療のメリット | 歯を削らずに即日でホワイトスポットが目立たなくなる 歯質を強化することができる |
| 治療のリスク | 経年的に着色することがある 後戻りの可能性がある |
症例13
-
術前

-
術後

| 診断 | 上顎左右1 ホワイトスポット |
|---|---|
| 初診時の年齢 | 22 |
| 治療内容 | ICON治療 |
| 治療期間 | 1日 |
| 治療総額 | 2歯合計 49,500円(税込) |
| 治療のメリット | 歯を削らずに即日でホワイトスポットが目立たなくなる 歯質を強化することができる |
| 治療のリスク | 経年的に着色することがある 後戻りの可能性がある |
症例14
-
術前

-
術後

| 診断 | 上顎左右1 ホワイトスポット |
|---|---|
| 初診時の年齢 | 28 |
| 治療内容 | ICON治療 |
| 治療期間 | 1日 |
| 治療総額 | 2歯合計 49,500円(税込) |
| 治療のメリット | 歯を削らずに即日でホワイトスポットが目立たなくなる 歯質を強化することができる |
| 治療のリスク | 経年的に着色することがある 後戻りの可能性がある |
症例15
-
術前

-
術後

| 診断 | 上顎左右1 ホワイトスポット |
|---|---|
| 初診時の年齢 | 27 |
| 治療内容 | ICON治療 |
| 治療期間 | 1日 |
| 治療総額 | 2歯合計 49,500円(税込) |
| 治療のメリット | 歯を削らずに即日でホワイトスポットが目立たなくなる 歯質を強化することができる |
| 治療のリスク | 経年的に着色することがある 後戻りの可能性がある |
症例13
-
術前

-
術後

| 診断 | 上顎左右1 ホワイトスポット+ブラウンスポット |
|---|---|
| 初診時の年齢 | 23 |
| 治療内容 | エナメルマイクロアブレージョン、ICON治療 |
| 治療期間 | 1日 |
| 治療総額 | 2歯合計 55,000円(税込) |
| 治療のメリット | 歯を削らずに即日でホワイトスポットが目立たなくなる 歯質を強化することができる |
| 治療のリスク | 経年的に着色することがある 後戻りの可能性がある |
ホワイトスポット治療に有用な「ICON治療」ですが、すべてのケースがこの治療法で治るわけではありません。元々、エナメル質が生まれつき形成されない「エナメル質形成不全」などは対象外です。未成年の方、妊娠中の方も適応対象外です。
また、目立たなくすることは可能ですが、完全にきれいにするのは難しいので、その場合は、ダイレクトボンディングやラミネートベニアといった治療法を選択することもあります。
歯の状態により最適な治療法は異なりますので、気になることがあればお気軽にご相談ください。
| 診療時間 | 月 | 火 | 水 | 木 | 金 | 土 | 日 | 祝 |
|---|---|---|---|---|---|---|---|---|
| 9:30 ~ 13:30 | / | ● | ● | ● | ● | ▲ | ▲ | / |
| 15:00 ~ 19:30 | / | ● | ● | ● | ● | ▲ | ▲ | / |
【休診日】月・祝 9:30 ~ 13:00、14:00 ~ 16:00