BLOG
ブログ

- 虫歯治療
- 歯科コラム
歯の神経治療(根管治療)が必要になるケースと重要性:歯科医が解説する歯髄保存の価値
こんにちは。横浜市緑区十日市場にある「十日市場ファミリー歯科」の院長・正木です。日々の診療の中で多くの患者さんから「神経を取るって言われたけど、本当に必要なの?」「神経を取った後はどうなるの?」といったご質問をいただきます。
歯の治療の中でも「神経を取る」という処置は患者さんにとって不安や疑問が大きい治療の一つです。なぜなら、一度取り除いた神経は二度と戻らず、その歯の状態や寿命に大きく影響するからです。
この記事では、歯の神経(歯髄)の重要性、神経治療が必要となるケース、可能な限り神経を残す方法、そして神経を取った後に起こり得ることについて詳しく解説します。正しい知識を持つことで、あなたの大切な歯の健康を長く守るための参考になれば幸いです。
歯の神経(歯髄)とは?知られざる重要な役割

多くの方は「神経を取る」という言葉を歯科医院で聞いたことがあるかもしれませんが、そもそも歯の神経とは何なのでしょうか?
歯の神経は正式には「歯髄(しずい)」と呼ばれ、歯の中心部にある生きた組織です。外からは見えませんが、歯の根の先端から根管(こんかん:根の中の管)を通って歯の内部に入り込んでいます。
歯髄の3つの重要な機能
歯髄は単なる「痛みを感じる組織」ではなく、歯の健康を維持するための以下の3つの重要な役割を担っています
-
防御機能:歯を守る最後の砦
歯髄には免疫細胞が存在し、虫歯菌などの外敵から歯を守る防御システムが備わっています。虫歯が進行してきた場合、歯髄は「第二象牙質」と呼ばれる硬い組織を形成して、自らを保護しようとします。これは、体が傷ついた時に傷口をふさごうとするのと似たメカニズムです。
また、歯髄があることで歯の内部に栄養が供給され、歯質の強度が維持されます。これが歯の「生命力」を支えているのです。 -
栄養供給機能:歯を生き生きと保つ源
歯髄内には毛細血管のネットワークが張り巡らされており、歯に必要な栄養素や酸素を供給しています。これにより歯は生きた組織として機能し、健康を維持することができます。
神経を取ると、この栄養供給路が断たれ、歯は徐々に乾燥して脆くなります。また、栄養不足により歯が変色(主に黒や茶色)することも多いです。これが、神経を取った歯が時間の経過とともに黒ずんでくる主な理由です。 -
知覚・感覚機能:危険を知らせる警報システム
歯髄には温度変化や圧力、痛みを感知する神経線維が豊富に含まれています。この機能によって、以下のことが可能になります:
・虫歯や歯の亀裂などの問題を「痛み」という形で早期に知らせる
・熱い食べ物や飲み物による歯の損傷を防ぐ
・冷たいものや温かいものの感覚を感じ、食事を楽しむ
これらの感覚機能は、口腔内の健康状態を自覚するための重要な「警報システム」なのです。
神経治療(根管治療)が必要になるケース:その判断基準

神経治療、専門用語では「根管治療(こんかんちりょう)」と呼ばれる処置が必要になるのは、どのような場合でしょうか?主に以下のような症状や状態が該当します
-
激しい自発痛が生じている
突然、何もしていないのに歯が激しく痛み出し、鎮痛剤を飲んでも痛みが収まらないケースです。特に夜間に痛みが増すことが特徴的で、これは歯髄炎(歯の神経の炎症)が進行している可能性が高いサインです。
このような激痛は、虫歯菌が歯髄まで到達し、神経が細菌感染を起こしている状態を示しています。細菌の毒素や炎症物質が神経を刺激し、強い痛みを引き起こすのです。 -
冷たいものや熱いものに極度の痛みを感じる
冷たい水を飲んだり、アイスクリームを食べたりしただけで、耐えられないほどの痛みが走る。または熱いコーヒーや食べ物に触れた瞬間に激痛が走る。そしてその痛みが長時間(数分以上)続く場合は、神経の炎症が進行している可能性が高いです。
一時的な痛みであれば、まだ可逆性の状態かもしれませんが、長く続く痛みは不可逆性の歯髄炎を示唆している場合が多いです。 -
噛むと痛む
食事中に何かを噛んだ時に特定の歯に強い痛みを感じる場合、それは歯髄の炎症が根尖(こんせん:根の先端)部分にまで及んでいるサインかもしれません。このような症状は「根尖性歯周炎」と呼ばれる状態を示していることが多いです。
これは神経の炎症が歯の外にまで広がり始めている危険な状態であり、早急な対応が必要です。 -
歯肉や顎に腫れや膿が生じている
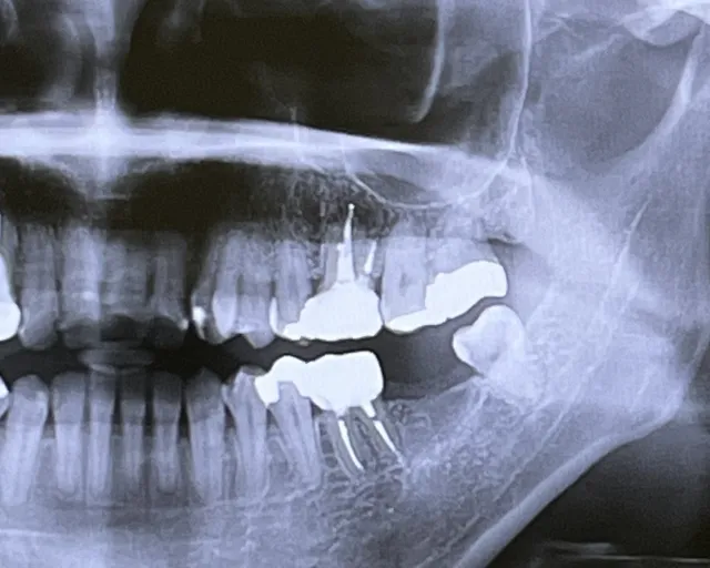
歯の根元付近の歯肉が腫れたり、膿が出たり、またはレントゲン写真で根の先に黒い影(膿の袋:膿瘍)が見られる場合は、神経が死んで細菌感染が根の外にまで広がっている状態です。
この状態を「根尖性歯周炎」や「根尖病巣」と呼び、放置すると顎の骨まで炎症が広がるリスクがあります。最悪の場合、顎や顔面全体の重篤な感染症(蜂窩織炎など)につながることもあり、緊急の治療が必要です。 -
大きな虫歯や深い亀裂がある
レントゲン写真や視診で、虫歯が神経に非常に近い、または既に到達していると判断される場合も神経治療の適応となります。また、歯に深い亀裂(クラック)が入り、その亀裂が神経腔にまで達している場合も同様です。
特に歯の破折(折れ)が神経まで達している場合は、神経を保存することが難しくなります。 -
過去の治療で何度も再発を繰り返している
同じ歯の治療を繰り返し受けているにもかかわらず、症状が改善しない場合は、神経に問題がある可能性があります。虫歯の再発を繰り返す原因が、実は見えない部分での神経の感染であることも少なくありません。
このような場合、神経治療を行うことで根本的な問題解決につながることがあります。
歯の神経を残す可能性:歯髄保存療法

虫歯が進行して痛みが生じている場合でも、必ずしも「神経を取る」という選択肢だけではありません。近年の歯科医療の進歩により、状況によっては神経を部分的に、または完全に保存する方法も発展しています。
-
間接覆髄法(かんせつふくずいほう)
虫歯が神経に非常に近づいているが、まだ完全には達していない場合に選択される治療法です。虫歯を丁寧に除去した後、神経に近い部分に特殊な薬剤(水酸化カルシウム製剤やバイオセラミック材料など)を貼付し、その上から修復物を詰めます。
これにより、神経の防御反応を促し、「第二象牙質」の形成を助け、神経を保護します。成功率は状況によって異なりますが、適切なケースでは70〜80%の確率で神経を保存できるというデータもあります。 -
直接覆髄法(ちょくせつふくずいほう)
虫歯を除去する過程で神経が少し見えてしまった(露髄)場合でも、その露出が微小で、細菌感染がない、または最小限である場合は、直接その部分に覆髄剤を貼付して神経を保存する試みがなされます。
特に若い方の健康な歯では、神経の治癒力と再生能力が高いため、この方法が成功する可能性が高くなります。 -
部分的歯髄切断法(生活歯髄切断法)
特に子どもの歯や若年者の歯で用いられることが多い方法です。神経の入り口部分(歯冠部歯髄)だけが感染している場合、その部分のみを除去し、健康な残りの神経(根部歯髄)を保存する治療法です。
これにより、まだ成長途中の歯では根の発育を続けることができ、歯の長期的な健康と強度を維持できます。 -
再生医療を応用した新しい治療法(研究段階)
最新の研究では、幹細胞やバイオマテリアルを用いて、失われた歯髄組織を再生しようとする試みもなされています。まだ臨床応用には制限がありますが、将来的には神経を取った歯にも新たな「生命」を吹き込める可能性が広がっています。
神経治療(根管治療)の流れ:何が行われるのか

神経治療が必要と判断された場合、一般的に以下のような手順で治療が進められます
-
局所麻酔と防湿
まず、治療部位を麻酔して痛みを抑えます。その後、ラバーダム(ゴム製のシート)などで治療部位を唾液から隔離し、清潔な環境を作ります。これにより細菌感染のリスクを減らし、治療の成功率を高めます。 -
感染した歯質の除去と髄腔への到達
虫歯部分を除去し、特殊な器具(バー)を使って歯の中心部分にある神経腔(髄腔)へ到達します。 -
神経の除去と根管清掃
専用の細い器具(リーマーやファイル)を用いて、根管内の神経組織を丁寧に除去します。その後、根管内を特殊な消毒液(次亜塩素酸ナトリウム溶液など)で洗浄し、残った神経組織や細菌を可能な限り取り除きます。
根管の形状は非常に複雑で、特に奥歯では複数の根管が存在し、それらが分岐したり湾曲したりしているため、完全な清掃は高度な技術を要します。 -
根管充填
清掃と消毒が完了したら、根管内を特殊なゴム状の材料(ガッタパーチャ)とシーラー(封鎖材)で完全に密閉します。これにより、外部からの細菌の侵入を防ぎ、根管内を無菌状態に保ちます。 -
最終修復(築造と被せ物)
神経を取った歯は、時間の経過とともに乾燥して脆くなるため、通常は強度を高めるための「築造(ちくぞう)」という処置を行い、その上から「クラウン(被せ物)」で歯全体を保護します。
これにより、噛む力による歯の破折を防ぎ、長期的な機能維持を図ります。
神経を取った後の注意点:知っておくべきリスクと対策
神経治療後は、その歯の状態や管理方法に変化が生じます。以下のような点に注意が必要です
-
歯の脆弱化と破折リスク
神経を取った歯は徐々に乾燥し、弾力性が失われて脆くなります。特に適切な被せ物(クラウン)で保護されていない場合、噛む力で歯が割れるリスクが高まります。
対策: 神経治療後は、歯科医師の推奨に従って適切な被せ物で歯を保護しましょう。特に奥歯など強い噛む力がかかる部位では、金属やジルコニアなど強度の高い素材が推奨されることが多いです。 -
知覚機能の喪失による問題
神経を取ると痛みなどの感覚がなくなるため、虫歯や亀裂が生じても自覚症状が現れません。そのため、問題が大きくなるまで気づかないことがあります。
対策: 神経を取った歯がある場合は、特に定期検診が重要です。3ヶ月から半年に一度の検診を受け、レントゲン写真で見えない部分の状態も確認してもらいましょう。 -
変色のリスク
神経を取った歯は、時間の経過とともに栄養供給が途絶えることで、徐々に変色(主に灰色や黒色)することがあります。特に前歯では審美的な問題になることもあります。
対策: 変色が気になる場合は、歯科医院でホワイトニング処置やセラミッククラウンなどの審美修復を検討できます。 -
再感染のリスク
根管治療は非常に精密な作業ですが、根管の複雑な形状により、100%完璧な治療は難しいことがあります。また、被せ物の隙間から細菌が侵入して再感染することもあります。
対策: 定期的な検診で再感染の兆候をチェックし、違和感や症状がある場合は早めに歯科医院を受診しましょう。また、日々の丁寧な歯磨きで被せ物の周囲を清潔に保つことも重要です。
予防が最善:歯の神経を守るための日常ケア

神経治療は現代の歯科医療において非常に精度の高い治療となっていますが、やはり自分の歯の神経を守ることが最も理想的です。以下に、歯の神経を守るための予防策をご紹介します
-
定期的な歯科検診とクリーニング
小さな虫歯や問題を早期に発見することが、神経まで達する深い虫歯を防ぐ鍵となります。半年に1回程度の定期検診をお勧めします。 -
丁寧な日常の口腔ケア
歯ブラシでの清掃に加え、フロスや歯間ブラシを使った歯間部の清掃も重要です。特に就寝前の歯磨きは丁寧に行いましょう。 -
フッ素の活用
フッ素入り歯磨き剤の使用や、歯科医院でのフッ素塗布は、エナメル質を強化し、虫歯の発生リスクを低減します。 -
砂糖の摂取制限と食習慣の見直し
砂糖を多く含む食品や飲料の頻繁な摂取は、虫歯リスクを高めます。特に就寝前の甘いものの摂取は避けましょう。 -
マウスガードの使用(必要な場合)
歯ぎしりや食いしばりがある方は、就寝時にマウスガードを使用することで、歯への過度の力による亀裂や破折を防ぐことができます。
歯の神経治療のよくある質問
Q1: 神経を取る治療は痛いのでしょうか?
A1: 適切な局所麻酔を行えば、治療中の痛みをほとんど感じずに処置を受けることができます。治療後に一時的な不快感が生じることもありますが、数日で改善することが多いです。
Q2: 神経治療は何回通院する必要がありますか?
A2: 歯の状態や根管の複雑さによって異なりますが、通常4〜6回程度の通院が必要です。重度の感染がある場合や、複雑な根管形態の場合はさらに回数が必要になることもあります。
Q3: 神経を取ると歯の寿命は短くなりますか?
A3: 神経を取ることで歯は弱くなりますが、適切な被せ物で保護し、定期的なメンテナンスを行うことで、長期間使い続けることが可能です。研究によれば、適切に処置された根管治療歯は90%以上が10年後も機能を維持しているというデータもあります。
まとめ:歯の神経を大切に
歯の神経(歯髄)は、単なる「痛みを感じる組織」ではなく、歯の健康と寿命を支える重要な役割を持っています。一度失われると二度と再生しないこの貴重な組織を可能な限り守ることが、長期的な口腔健康につながります。
神経治療が必要と診断された場合は、その理由と治療計画について歯科医師とよく相談し、理解を深めることが重要です。また、神経を取った後も適切なケアと定期的な検診で、その歯を長く使い続けることができます。
十日市場ファミリー歯科では、可能な限り歯の神経を保存する治療アプローチを心がけています。しかし、神経を取らざるを得ない場合でも、精密な根管治療と適切な修復処置により、その歯の機能を長期間維持できるよう努めています。
お口の中に違和感や痛みを感じたら、早期に歯科医院を受診することが、神経を守る最大のチャンスです。横浜市緑区にある十日市場ファミリー歯科では、あなたの歯の健康を守るため、丁寧な診査と説明を行い、最適な治療をご提案いたします。

JR横浜線十日市場駅より徒歩7分の歯医者、十日市場ファミリー歯科です。お子様連れでも安心のバリアフリー設計。土日診療対応で通いやすく、小児歯科も充実。障害者歯科学会認定医。
【医院情報】
医院名:十日市場ファミリー歯科
住所:横浜市緑区十日市場町849-12松ビル1F
電話:045-511-8789
診療時間:平日9:30〜19:30 土日9:30~16:00(月・祝休診)
アクセス:JR横浜線「十日市場駅」徒歩7分
十日市場の歯医者|土日診療の十日市場ファミリー歯科(横浜市緑区)
| 診療時間 | 月 | 火 | 水 | 木 | 金 | 土 | 日 | 祝 |
|---|---|---|---|---|---|---|---|---|
| 9:30 ~ 13:30 | / | ● | ● | ● | ● | ▲ | ▲ | / |
| 15:00 ~ 19:30 | / | ● | ● | ● | ● | ▲ | ▲ | / |
【休診日】月・祝9:30 ~ 13:00、14:00 ~ 16:00